AXIS Dental Group
Inlays & Onlays in Brampton
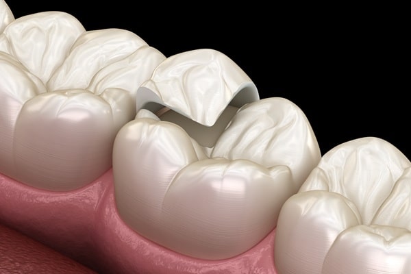
Inlays and Onlays in Brampton for Durable Tooth Repair
Not every tooth needs a full crown. When the damage is too big for a filling but not enough to cap the whole tooth, inlays and onlays offer a solid middle ground. At AXIS Dental Group, we use these custom restorations to rebuild function while preserving as much of your natural tooth as possible.
Made from strong, tooth-coloured materials, inlays and onlays are bonded into place to restore structure and strength. They’re ideal for patients with larger cavities, cracked teeth, or old fillings that need to be replaced.
✓ More conservative than crowns
✓ Stronger than traditional fillings
✓ Designed to blend naturally with your smile
When Inlays and Onlays Make Sense
You might be a good candidate for inlays or onlays if:
You have a damaged or decayed back tooth
Your filling is large, cracked, or leaking
You want a longer-lasting solution than a regular filling
You’re hoping to avoid a full crown or root canal
These restorations are custom-made to fit your bite and minimize future issues — all while keeping more of your tooth intact.
How Inlays and Onlays Are Placed
At your first visit, we’ll remove any old filling material or decay, shape the area, and take a digital scan. That scan is used to design your inlay or onlay for a perfect fit.
You’ll leave with a temporary piece while your restoration is being made. A few days later, you’ll come back for placement — quick, clean, and bonded for durability.
Why Choose Inlays or Onlays
Preserving healthy tooth structure makes a difference over time. Inlays and onlays are built to last — offering more strength than a standard filling without needing to grind away the whole tooth for a crown.
They’re a practical way to fix problems now while protecting your tooth in the future.
Easy & Accessible Dental Care
Experience comfort, convenience and care all in one place.
Thousands of patients have come through our doors, some for regular checkups, others for procedures their dentist didn’t offer. Whatever brings you in, you’ll find a team that listens and treats you with respect.



